肘頭骨骨折手術 経過表№2 目標 1.疼痛のコントロールができる 2.良肢位の保持ができる 3.合併症を起こさない 4.創部に問題がない 術後1日目 術後3日目 術後5日目 術後7日目 検査 採血(朝6時頃) 採血(朝6時頃) 採血(朝6時頃)Sep 16, 15 · 手術を行うことが多い場合 骨折箇所が関節に近い;またスポーツによる手指・肘のケガも若年層に多く見られます。外傷は保存的治療を基本としますが、損傷の程度により手術をおすすめします。 1 橈骨遠位端骨折 粉砕の強い場合、関節内に骨折が及ぶ場合は手術を行います。

鹰嘴骨折 肘部骨折 疾病 21
肘 骨折 手術 子供 入院期間
肘 骨折 手術 子供 入院期間-Mixi骨折・リハビリ 肘のリハビリ?? 肘の骨折後のリハビリ期間・方法について質問させてください。 状態 ・スノーボード中に手をついた際に肘を骨折しました。 ・レントゲンでは骨折箇所はわかりませんでした。腫れ方から骨折と判断されましたDec 31, 18 · 肘頭骨折では骨折面が離れてしまうと、この骨がくっつく条件を満たせないために手術適応となります。 ただし、骨折面が離れていないものは手術せずに固定のみでの治療は可能です。


尺骨鹰嘴的症状和体征 尺骨鹰嘴骨折 尺骨 骨折不愈合
小児肘関節脱臼骨折の手術治療 133 文 献 1) Anthony AS, Stephen DH Dislocations of the elbow In James HB, James RK, ed Rockwood and Wilkins' fractures in children Lippincott Williams & Wilkins, Philadelphia 06 ;1.肘頭骨折について 肘頭とは肘の後面にある肘の頂点の突起部分をいい、この部位の骨折を肘頭骨折といいます。 成人に多い疾患で小児には比較的少ない疾患です。 原因としては転倒した際に地面に肘をぶつけて受傷することが多いです。 肘を伸ばしたまま手を衝いて転倒し、肘頭部分と肘頭窩が衝突して受傷することもあります。 他にも上腕三頭筋の腱が欠損した部分には膝から骨軟骨を円柱状で採取して(図3)肘に移植します(骨軟骨柱移植術:図4)。 採取された膝に関しては現在まで問題は起きていませんので安心してください。 術後は23週間ギプス固定を行います。 4ヶ月でバッティング、6ヶ月での投球開始を目指します。 また、この治療の間には治癒した後でも再発しないような体づくりを指導します
追加の手術が必要なく良好であることが報告され ている1,2).骨脆弱性を有する高齢者の肘頭骨折の 治療に関する報告は少ない.われわれは高齢者の肘 頭骨折に対してtension band wiring(以下TBW)を 用いて治療を行ってきた.今回その治療成績と問題破綻すると肘は脱臼し, 骨折を伴う場合には脱 臼骨折の形態をとる 一般に肘関節脱臼骨折は 腕尺関節の脱臼骨折をさしている 肘関節脱臼 骨折はその治療において, 合併骨折時に関節内 骨折の処置や軟部組織の処置ばかりでなく, 後手の手術をされた方へ、手術後に注意すること~皮膚の色や強い痛みについてなど~ 手指や肩、肘の運動が許可されている場合には積極的に動かしてください。 肩の運動な手が頭に届くくらい積極的に動かしてください。 指の運動は指先が手のひらに
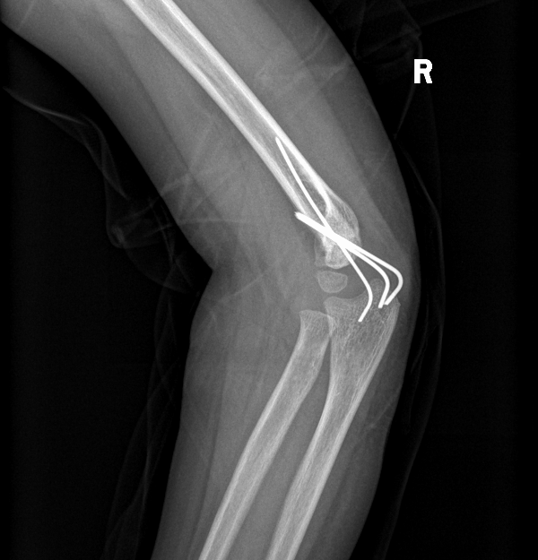
肘頭骨折,引き寄せ鋼線締結,プレート固定 はじめに 肘頭骨折は,肘関節周辺骨折の中でも頻度が高く,関 節内骨折であるため,手術治療に際しては関節面の整復 と強固な内固定が必要である.一般に,tensionbandwirMar 11, 17 · 「肘頭骨折」の治療方法は、 ・保存療法 ・手術療法 に大別されます。 単純な肘頭骨折で、 骨折部の転位がない場合 には、 "保存療法" が適応となります。 その他、 転位が生じている場合 や、 合併損傷を伴う場合 には、 "手術療法" が適応となります。(多くは手術療法となる)橈骨 と 尺骨 が両方とも折れている;



肘关节骨折 损伤及中毒 默克诊疗手册家庭版



儿童骨折了怎么办 知乎
ないと判断した場合、手術を行います。 今回は、専門である肘関節外科の手術を一部ご紹介させていただきます。 肘の構造 肘は、上腕骨・橈骨・尺骨という3つの骨によっ て構成されています。これらの骨は、靱帯によって 強固に結ばれています。肘頭骨折:肘を打った、肘関節を伸ばせない、肘の痛みや腫れなど 肘頭とは 肘頭は2本ある前腕骨のうち小指側にある尺骨の肘の部分の頂点にあたり、一般的には「肘鉄」と呼ばれたりもします。同じ経験をされた方や、肘の骨折で元のように曲げられるようになった方などいらしたら教えて頂けたら嬉しいです。 ユーザーID: これ



肱骨外髁的治疗 保守还是手术 为什么 骨科专业讨论版 丁香园论坛



尺骨鹰嘴骨折块较小最经典治疗技术是什么 Medsci
そこで、肘頭骨折では 図2 の様に骨に注し込んだ鋼線に両骨片を8の字に結んだワイヤーを引っ掛け、肘を曲げる度に骨折端は圧迫されるといった方法で、しっかりと整復・固定をします。 (図2 肘頭骨折にワイヤーで8字縫合固定)子どもが骨折しやすい部位-肘の骨折には注意が必要 より低侵襲なものへと変わる骨折治療 かつては手術時に大きく患部を開き、金属をあてがって折れた骨をガッチリと固定していたため、手術後の患者さんの動作や術者の技術など様々な要因により複雜性骨折通常需要手術修補和固定碎片,如果骨片太多時,可能需要移除或置換橈骨頭。 肘突Olecranon骨折(見圖 3) 這種骨折通常有脫位而需要手術。骨骼碎片需要重新對齊,並使用鋼針和鋼絲或骨板和骨釘加以固定。 遠端肱骨Distal Humerus骨折(見圖 4)



小儿肘部骨折术后如何进行康复锻炼 小儿骨折 小儿骨折



家长坚持不手术胳膊摔骨折五岁男孩胳膊肘 向外拐
上肢(手・肘・肩) 代表的疾患と手術方法 上肢の外傷 外来において最も頻度が高いのが上肢における外傷です。高齢人口の増加に伴い橈骨遠位端骨折や上腕骨近位部骨折は増加傾向にあります。右肘骨折の抜釘手術 H16年10月6日(水) 少し長くなるけれど、参考になる人もあるかなと思ってカキコします。 又骨折のテンションバンドワイヤリングのOP後のレントゲン写真も撮っているので、時間が出来たらアップします。



左侧桡骨小头骨折 手术 保守 骨科专业讨论版 丁香园论坛



手肘骨折的症状图片 第2页 一起扣扣网


手肘骨折后睡觉图 第1页 要无忧健康图库


尺骨鹰嘴骨折 脱位伴桡骨头及冠状突骨折的手术治疗 中国修复重建外科杂志 唯一官网


手肘骨折后睡觉图 第1页 要无忧健康图库



醫病 小四男童被鞋帶絆倒手肘粉碎性骨折 即時新聞 自由健康網



胳膊肘骨折手术 第1页 一起扣扣网



Chia Wei Lin Md 林佳緯醫師 手肘粉碎性橈骨頭骨折的治療 Treatment For Mason Iii Radial Head Fracture



Nejm 髁上骨折 病例报道 Medsci Cn



儿童肱骨髁上骨折 父母需要知道的事情 肱骨骨折 手术


尺骨鹰嘴骨折 医联



左侧桡骨小头骨折 手术 保守 骨科专业讨论版 丁香园论坛


創新科技引領潮流 龍川骨科首例橈骨小頭置換術 雪花新闻



盘点骨科四肢创伤的那些 坑



鹰嘴骨折 肘部骨折 疾病 21



尺骨鹰嘴骨折的手术治疗 克氏针 软组织 骨块 网易订阅



车祸致严重粉碎性骨折 江西省儿童医院完成一例肘部严重损伤高难度手术 每日头条



骨折钢钉手术图片 搜狗图片搜索



胳膊肘骨折手术 第1页 一起扣扣网



家长讳疾忌医导致孩子手臂畸形 现在后悔莫及 知乎



尺骨鹰嘴粉碎骨折术后肘关节骨化性肌炎病例



桡骨头骨折 恢复肘关节功能哪种手术优势尽显 Medsci Cn


儿童手肘骨折手术后对手部功能有何影响 时习社区



桡骨头骨折 恢复肘关节功能哪种手术优势尽显 Medsci Cn



膜肘骨折内上髁肱骨及内固定支柱库存图片 图片包括有经纪 医疗 诊断 医院 考试 健康


重仁骨科醫院復健部 手肘骨折初期衛教分享 手肘骨折大多因為跌倒所造成 對於大多數病患而言 Facebook



肩 肘の骨折 外傷の手術 Os Nexus 電子版付き 7 Amazon Com Books



肱骨外髁的治疗 保守还是手术 为什么 骨科专业讨论版 丁香园论坛



肘关节骨折 手术后夜间睡不着 骨科与显微外科专业讨论版 爱爱医医学论坛



骨哥小教室 認識肘部骨折 骨哥論壇



肘关节恐怖三联征的分型及手术治疗 骨折 桡骨 克氏针 肱骨 网易订阅


尺骨鹰嘴的症状和体征 尺骨鹰嘴骨折 尺骨 骨折不愈合



肱骨髁间骨折诊疗共识 关节 髁上 网易订阅


肘关节骨化性肌炎再骨折 请教手术方案 米粒分享网 Mi6fx Com



图片 手臂尺骨骨折的进来交流下 骨折吧 热备资讯


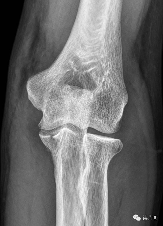
肘关节尺骨骨折 读片哥 微信公众号文章阅读 Wemp



膜肘骨折内上髁肱骨及内固定支柱库存图片 图片包括有经纪 医疗 诊断 医院 考试 健康



專業手術 職業運動員的手肘骨折 骨科蔡依樽醫師 親切 專業 更用心 台中



肘关节骨折手术治疗



手腕腳踝骨折手術只要局部麻醉高榮50例發表國際期刊 骨科 復健 科別 元氣網



桡骨小头骨折怎么选择治疗方案 知乎


比较真实的手骨折图片 搜狗图片搜索



小孩胳膊肘骨折手术后4周钢钉的地方还没消肿还有点硬请问正常吗 相关视频 骨折后钢钉上在哪个位置3d动画让你看懂肘关节损伤手术的原理 爱言情


尺骨鹰嘴骨折 医联



手肘骨折的症状图片 第2页 一起扣扣网


手肘粉碎骨折復位及內固定手術治療


本院又成功完成一例儿童肱骨髁上骨折微创手术 衡阳世和医院 您的健康管理专家



肘关节恐怖三联征的分型及手术治疗 骨折 桡骨 克氏针 肱骨 网易订阅


胳膊肘骨折打钢钉图片 搜狗图片搜索



图片 手臂尺骨骨折的进来交流下 骨折吧 热备资讯


肱骨外髁骨折是什么病 如何来的诊断与治疗的 肱骨骨折 肱骨骨折



肘关节脱位 不稳定 新加坡骨折手术



手肘术后僵硬 26岁小姐姐的康复故事 知乎



肱骨远端骨折手术 鹰嘴截骨入路or游离肱三头肌腱远端两侧入路 Medsci Cn


妙手扶桑梓 高医展奇效 骨创科完成一例特殊肘关节骨折的个体化治疗 重点新闻 山东第一医科大学第一附属医院 山东省千佛山医院



做好肱骨远端骨折手术 从熟悉解剖 分型及手术入路开始 骨折 新浪新闻


内外侧双钢板内固定手术治疗复杂肱骨远端骨折的临床疗效


娄星区人民医院成功应用微创手术治疗小儿肱骨髁上骨折 患儿


手术治愈蓝猫尺骨骨折 肘关节脱位和软腭裂开 病症 维宠宠物导航网


孩子骨折手术会不会留下一个大疤 医生 这样就不会



肘关节骨折 手术后夜间睡不着 骨科与显微外科专业讨论版 爱爱医医学论坛


儿童手肘骨折手术后对手部功能有何影响 时习社区



儿童骨折治疗 常见的小儿损伤 新加坡儿科骨科专家



三个月大猫猫手肘粉碎性骨折手术费用 摩点移动版


预防 运动别逞能 胳膊肘也会骨折的 医数



胳膊肘骨折手术 第1页 一起扣扣网



肘关节骨折手术治疗


Bs8ulpoev1ulm



膜肘骨折内上髁肱骨及内固定支柱库存图片 图片包括有经纪 医疗 诊断 医院 考试 健康



案例分析 手臂肱骨骨折的术后康复 万茜的肱骨康复之路 知乎



黄骨头肘关节骨折手术日记 肘关节恐怖三联征一例 手术已做 骨科专业讨论版 丁香园论坛



肘关节骨折术后如何护理 专家文章 博禾医生



專業手術 職業運動員的手肘骨折 骨科蔡依樽醫師 親切 專業 更用心 台中



手肘骨折照片男 第1页 一起扣扣网



肘关节粉碎性骨折 知乎


创伤 骨折 手术后肘关节僵硬的手术治疗 锻炼



骨哥小教室 認識肘部骨折 骨哥論壇


肘部骨折 问上医


矫形手术治疗骨折畸形患者 冀中能源峰峰集团总医院 微信公众号文章阅读 Wemp



新院区运行 骨科病院创伤中心成功开展肘关节复杂骨折复位内固定术 樊大爷



中醫治療骨折成果耀眼南醫榮登國際權威期刊 Ettoday生活新聞 Ettoday新聞雲



老人遭遇车祸致肘关节粉碎性骨折医生一次搞定 手机网易网


真實案例 六歲小孩肘部橈骨骨折 正骨中醫手法不開刀 無後遺助其康復 雪花新闻



奇美醫療體系 衛教資訊網



肘关节粉碎性骨折 知乎



3岁男孩摔倒致左肘骨折 会造成发育畸形 这个方法或许有效 每日头条


父母揪心的儿童肘关节骨折 我们可以做得更好



孩子滑滑板车 摔倒就导致胳膊骨折了 这可怎么办 知乎


康复专栏之尺骨骨折 训练


李义凯 髁上骨折后遗症多 365医学网


肘关节骨化性肌炎再骨折 请教手术方案 米粒分享网 Mi6fx Com



老婆左肘鹰嘴骨骨折 马上手术了 我好紧张 虎扑


一篇搞定 成人肘关节骨折脱位的治疗



醫病 小四男童被鞋帶絆倒手肘粉碎性骨折 即時新聞 自由健康網
0 件のコメント:
コメントを投稿